Dental Implants in New Jersey

call (201) 864-2600

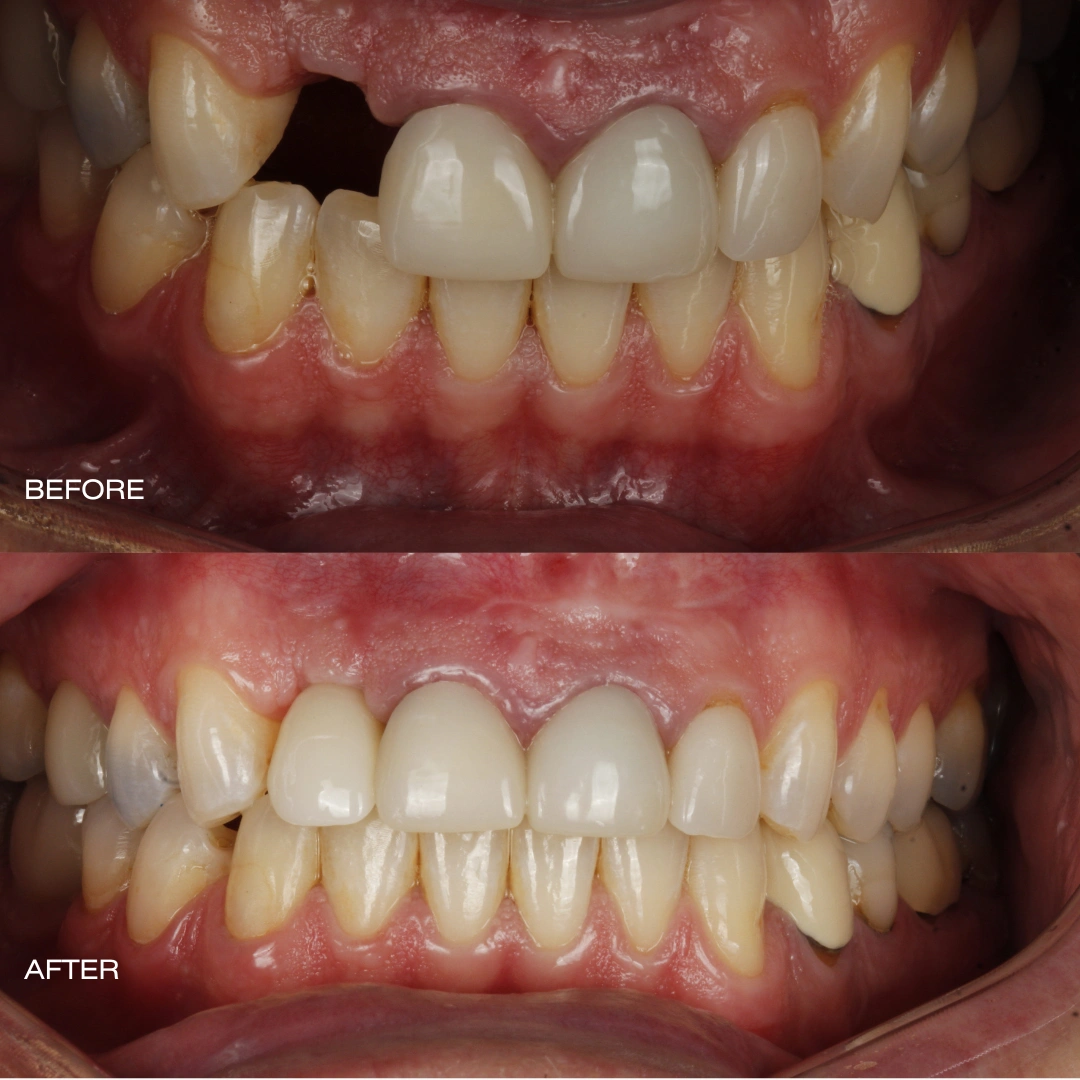
How can I replace my missing teeth?

If you’re missing one, or several, teeth, and are looking for a low-maintenance, long-lasting solution, dental implants in New Jersey may be the right choice for you. Able to restore the look and function of your smile and bite, dental implants can enhance your overall appearance and oral health. Dental implants are made with durable materials that can last a lifetime with the proper care and are custom-crafted to seamlessly blend in with the rest of your smile.
For those in Hoboken, we offer specialized dental implants in Hoboken to help restore your smile with expert precision and care.

Did you know…

tooth icon

Unlike natural teeth, dental implants aren’t at risk for tooth decay.

Ready to see if dental implants are right for you?

Call (201) 864-2600 TODAY!

How it works: The dental implant placement and restoration process

dental implant specialist

The Initial Consultation

The initial visit includes dental exams, x-rays and discussion on best restorative option, including implants.

oral surgery treatment

Your Oral Surgery Treatment

Once the treatment is approved, it leads to the scheduling of oral surgery, dental implant placement, and incision closure for healing.

tooth with checkmark icon

Healing & Osseointegration

After implant placement, gums heal in less than 2 weeks, but it takes 3-6 months for osseointegration or the permanent bonding of the implant with the jaw bone.

tooth with clipboard icon

Creating the Restoration

Your dentist will monitor implant healing, take bite impressions, and send them to a dental lab for a custom dental prosthetic during the healing process.

tooth with clipboard icon

Applying the Restoration

After receiving your dental prosthetic and ensuring successful implant bonding, your final visit will involve attaching the restoration securely with dental cement or adhesive.

tooth with clipboard icon

Maintenance & Aftercare

Dental implants require regular oral hygiene practices such as brushing, flossing and routine dental visits. With proper care, they can last a lifetime.

Dental Implant Options

View our services

Single Tooth Implants

Single tooth implants consist of two primary parts, and are the most common type of dental implant treatment. The implant itself is a titanium “post” that is shaped like a screw. A dental crown can be made from a variety of materials and is a tooth-shaped “cap” that attaches to the implant post to complete the restoration. You can opt for our porcelain dental crowns at our Hoboken clinic.

Single tooth implants are embedded directly into the jaw, where the titanium bonds permanently with the bone. While the site heals, a dental crown is crafted, and is eventually affixed to the implant post via an “abutment.” Crowns mirror the look and function of a natural tooth to blend in seamlessly with the rest of your smile.Made from durable materials, dental crowns can last for decades, while dental implants can last a lifetime. And unlike a partial denture, a single-tooth implant will never move around or shift in your mouth.

Full-Arch Implants

For patients who are missing all, or most, of their teeth, full-arch implants offer a durable alternative to traditional dentures that won’t slide around in the mouth. Your dental prosthetic will be attached to a series of 4-6 dental implants that are placed in each arch, so you can enjoy the look, feel, and function of a brand new smile that will last for years to come.

Because the dental implants act like natural roots to support fixed dental bridges or a set of removable implant-supported overdentures, full-arch implants look and feel much more natural than their traditional counterparts. Permanently bonded with your jaw, full-arch implants allow for prosthetics that will never shift or move when you eat or speak. Learn more about our restorative dentistry options.

Mini Implants

Mini implants are about half the size of their full-sized counterparts. While they can be utilized to restore anywhere from one to several teeth, mini implants are most often used as anchors for a set of implant-supported dentures.

Due to their smaller size, the placement process for mini implants is a less invasive procedure than is required for traditional implants. Their small size also means that mini implants can often still be placed in patients who have experienced bone loss in their jaw due to tooth loss or gum disease.

Implant-Retained Dentures

Implant-retained dentures are one of the most secure solutions available for those looking for a way to permanently replace a full set of missing teeth. A complete set of dentures is affixed to 4 or more implants that have been placed in your jaw. Implant-retained dentures are not removable at home, so patients can brush and clean their smile like they would their own natural teeth.

All-On-4 Implants

All-On-4 dental implants are a great solution for patients who have lost all or most of their teeth. In a single visit, a full arch of your teeth can be restored with just 4 dental implants. If you're located in Secaucus, we also provide dental implants in Secaucus as a convenient and effective option for long-term smile restoration. Not only are All-On-4 implants a more permanent and natural-looking alternative to dentures, they are also a more budget-friendly solution than replacing each tooth individually.

Did you know…

floss icon

For many patients, dental implants can last a lifetime.

Ready to schedule a consultation?

Call (201) 716-0651 To Book an Appointment

Have questions about implant dentistry? Find answers here.

arrow icon

How are dental implants made?

Dental implants consist of two main parts, the implant itself, and the restorative component. The implant is the screw-shaped titanium “post” that is placed directly into the jaw bone. The restoration is most often a custom-crafted prosthetic like a dental crown, and an abutment, which links the restoration and the implant together. Implant posts, on the other hand, come in various pre-made sizes, ensuring every patient gets an implant that fits their grin.

After your dental implant has been placed, your dentist will create impressions of your teeth and gums, using either putty or digital scans, and send them to a dental lab, where they will create a dental implant restoration that is made to last. Most restorations are crafted out of porcelain or a durable, natural-looking composite material. Once we receive your restoration, you’ll return to our office where your dentist will secure your dental prosthetic to your implant, completing the restoration.

arrow icon

How long do dental implants last?

When placed properly and maintained with good oral hygiene, dental implants in NJ can last for decades—even a lifetime.  In fact, it’s common for patients to keep their implants for the rest of their lives. 
On the other hand, although restorations like dental crowns and bridges are made from durable materials, the regular wear they endure from chewing and biting means that they will  likely need to be replaced at some point to ensure your continued oral health.

Can dental implants get infected?

arrow icon

Although rare, it is possible for dental implants to become infected. A condition known as “peri-implantitis,” an infected dental implant is most often a result of the implant not being cleaned or cared for correctly following oral surgery. 

The best way to avoid the risk of peri-implantitis is to carefully follow your dentist’s instructions for recovery, and to keep up with good oral hygiene habits, like regular brushing and flossing, once your dental implant has healed.

Will dental implants stop bone loss?

arrow icon

Yes, and they’re the only dental restoration that does so. Bone loss, also known as bone resorption, occurs after losing a tooth, when your jaw stops being stimulated by the natural forces that come from chewing and biting, causing your jaw bone to weaken.

When a dental implant bonds directly with the jaw bone, it acts as an artificial root in that it effectively transmits the pressure of chewing and biting into your jaw bone, providing stimulation to keep your bone from losing density.

Can dental implants be done in one day?

arrow icon

For some cases, there are several types of dental implants that can be completed in just one appointment. However, the restoration will be a temporary prosthetic to keep your bite functional and to protect the implant site until you’ve finished healing from the placement surgery. The temporary restoration ensures that you will be able to eat and speak normally during the healing process.

Healing usually lasts between 3-6 months, and during this time your dentist will schedule a series of follow-up visits. They will monitor your healing progress and take impressions of your teeth and gums, which will be sent to our dental lab. The lab will use these images to custom-craft your permanent restoration, a more durable, natural-looking prosthetic than your temporary one.

Want to perfect your smile even further? Explore our cosmetic dental options.

Can’t Call Right Now?

Submit your contact information and we'll get back to you!

Thank you! Your submission has been received!
Oops! Something went wrong while submitting the form

Did you know…

floss icon

Titanium is durable, light, and biocompatible.

Ready to restore your smile?

Call (201) 864-2600 TO schedule today
All smile - phone icon
Call Secaucus
All smile - phone icon
Call Hoboken